Medical Information Processing
RoCAL is interested in finding the information and identifying the key factors that closely correlate with surgical outcomes in endoscopic sinus and skull base surgeries.
Preoperative Surgery Planning for Endoscopic Sinus and Skull Base Surgeries
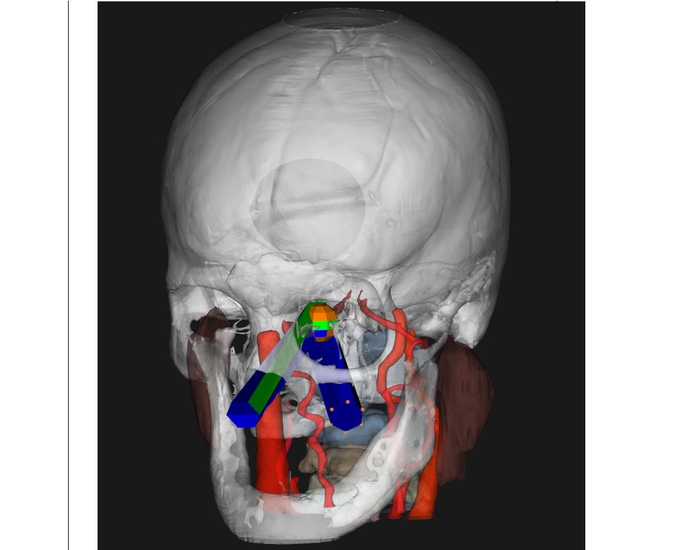
We define the surgical pathway as the volume created by instrument trajectories.
Software, named skull base navigator, was developed to quantitatively capture surgical planning results from human surgeons, and compare them with real surgical motions.
We also partner with Medtronics and Stryker to collect real surgical motions based on their popular surgical navigation systems.
Skull Base Navigator.
Skull base navigator is a tool we created that allow surgeons to interactively plan surgeries, practice surgery preoperatively, as well as quantitatively review surgical procedures.
Automatic Surgical Planning.
We identified the key metrics for Sinus and Skull Base Surgeries and use them to automatically plan surgeries.

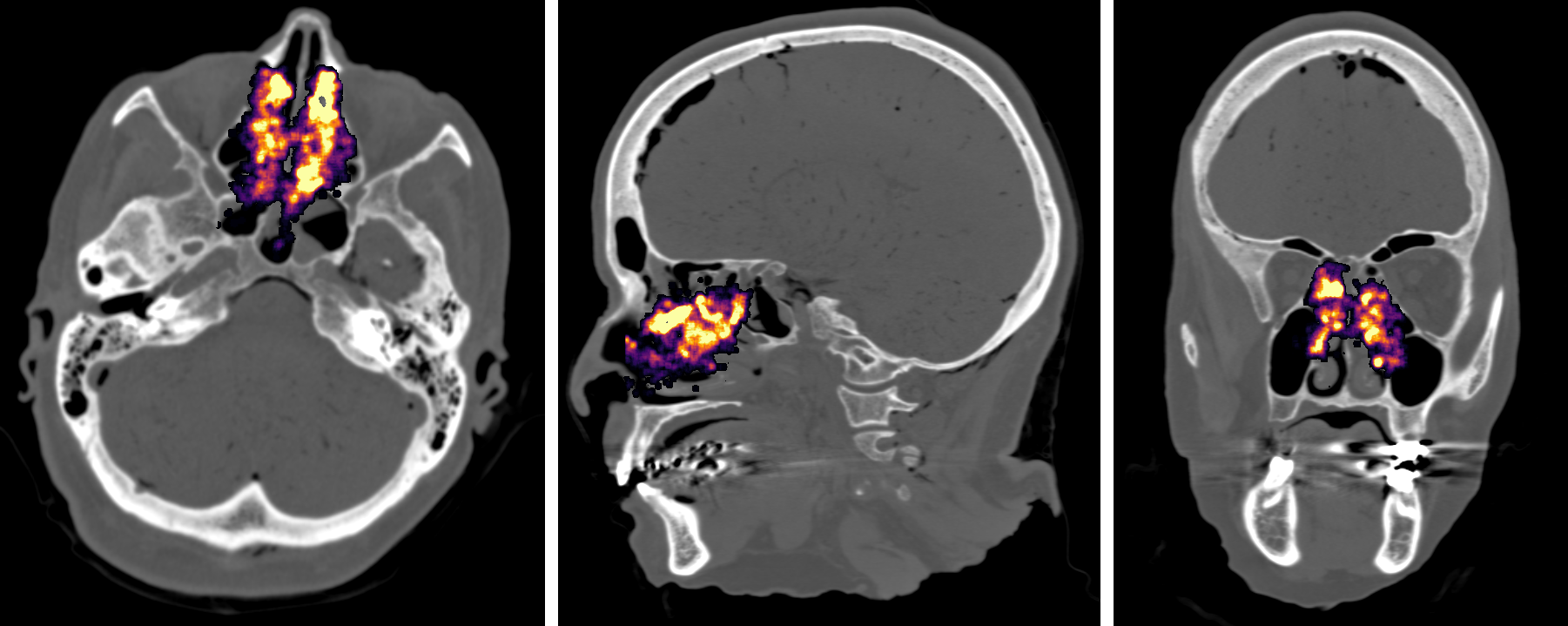
Anatomical Regions for Motion Pattern Study.
We found the motion patterns vary with respect to anatomical tissues, which can be approximated by anatomical regions. Anatomical regions can be reliably automatically segmented, which fundamentally decreases the difficulty of study motion patterns.
Intraoperative Guidance and Postoperative Review for Improving Surgical Outcomes
We added modules to skull base navigator to provide intraoperative guidance and warning to surgeons, and allow surgeons to quantitatively review surgeries.
Intraoperative Guidance for Endoscopic Sinus and Skull Base Surgery.
A self-developed system guides surgeons with detailed preoperative plans. The system consists of an electromagnetic navigation component, a graphic user interface component, and a real-time warning component.
Surgical Skill Assessment
Based on the motion pattern study, software has been developed to provide real-time feed back on surgical skills. This software can potentially be used for improving training efficiency as well as serving as "the extra eyes" for expert surgeons.
Real-Time Surgical Skill Assessment
Through studying real surgical motions, we found it is possible to assess surgical skills in real-time. Software has been developed to assess skill levels in real-time, as well as identify the reasons for low skill levels.
Surgical Completeness Prediction
We use different information to predict surgical completeness and provide real-time feedback to surgeons. Through improving surgical completeness, the revision surgery rate will be dramatically decreased.
Surgical Instrument Segmentation with Deep Learning
Instrument Prediction based on Kinematic Model

Surgical Removal Prediction based on Instrument Motion
Surgical Removal Prediction based on SurgicalSLAM.