News by Topic: Women
Rochester has a proud history of breaking barriers and fighting for social change. Susan B. Anthony and Anna Murray Douglass were Rochesterians and our community continues to celebrate their social contributions. RIT upholds a tradition of social equity by supporting female students with a host of clubs and organizations, as well as community resources, that provide platforms for meaningful discussion centering on feminine social justice.
-
March 16, 2015
Grad finds sweet spot in video game industry
Anna Sweet ’04 got her first computer in grade school and has been hooked ever since. She now is responsible for business development at Valve Corp. -
March 16, 2015
Controlling the air inside a masterpiece
Jackie Russo Anderson ’07 helped design an air management system to preserve the Sistine Chapel’s artwork without changing the building’s original structure. -
March 12, 2015
NTID student wins distinguished Vanguard award
Rachel Viacava won the Vanguard Student Recognition Award from the New York State Nontraditional Employment and Training Program. -
March 9, 2015
Saunders College hosts women’s conference
Kathleen Buse of Advancing Women in STEM will discuss retaining and advancing women in the STEM professions at the Power Your Potential Women’s Leadership Conference. -
March 2, 2015
RIT students head to Game Developers Conference
More than 100 students, alumni, staff and faculty will attend Game Developers Conference this week, the world’s largest professional gaming industry event of the year. -
February 27, 2015
D.I.V.A.S. at RIT work toward empowering women
Meet Olivia Harrison, a fourth-year journalism student and original member of D.I.V.A.S. at RIT — Determined Individuals Victoriously Achieving Success. -
February 2, 2015
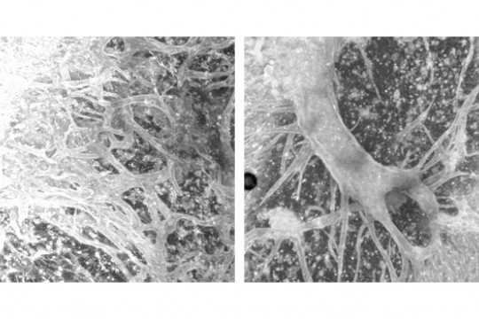
Scientist works on artificial tissue development
Maria Helguera and colleagues from UR are looking to ultrasound technology to create blood vessels needed to nourish organs and tissues grown for reconstructive applications. -
February 2, 2015
‘How I Learned to Drive’ revs up at RIT
The production is part of a weeklong symposium on prevention and recovery from sexual harassment, abuse and assault. -
January 14, 2015
King’s Legacy keynote speaker featured on WXXI
Soledad O’Brien, former anchor for CNN and keynote speaker for this year’s Expressions of King’s Legacy, will be featured on WXXI’s Connections with Evan Dawson Jan. 22. -
December 16, 2014
Students to repair medical equipment in Guatemala
Biomedical engineering students will work with the international nonprofit organization Engineering World Health during this winter’s intersession break. -
December 8, 2014
Famine project is lesson in global engagement
For 20 days this fall, Kaitie Spaude fed herself on the equivalent of $1 a day—her take on an assignment to explore a region of the world. She picked a slum region of Nairobi. -
November 20, 2014
RIT’s CIO selected as innovation leadership fellow
Jeanne Casares is one of two dozen senior leaders from 21 universities selected for the new Academy for Innovative Higher Education Leadership.